30代女性 ホームホワイトニングで歯の色味をトーンアップさせた症例
BEFORE
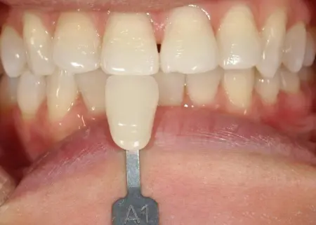
AFTER
| 年齢・性別 | 30代女性 |
|---|---|
| 診療種別 | 自由診療 |
| 治療期間の目安 | 約3週間 |
| 治療回数の目安 | - |
| 治療費総額の目安 | 22,000円 |
ご相談内容
「歯の治療が一通り終わったので、ホワイトニングを行いたい」とご相談いただきました。
カウンセリング・診断結果
口腔内を拝見し、色見本を使用して歯の色を確認する「シェードテイキング」を行ったところ、患者様はやや黄ばみのある「A3」に該当する色味で、口元が暗い印象でした。
歯の黄ばみは加齢や日々の食生活が原因で引き起こされ、通常の歯磨きだけでは改善が難しいです。
患者様の希望どおり、専用の薬剤で歯を白くする「ホワイトニング」が適していると診断しました。
行ったご提案・治療内容
ホワイトニングには、即効性がある歯科医院での「オフィスホワイトニング」、効果が持続しやすい自宅での「ホームホワイトニング」、そしてこの2種類を併用する「デュアルホワイトニング」の3種類があります。
それぞれの特徴をお伝えしたところ、患者様はホームホワイトニングのみで歯を白くする方法を選択されました。
まずは患者様専用のマウスピースを作製し、完成後にホームホワイトニング用の薬剤「オパールエッセンスgo」とともにお渡しして、使用方法を丁寧に説明しています。
また、1週間ご自宅でホームホワイトニングを行ったあと、再度ご来院いただいて歯の色味を確認し、その後さらに2週間、ホームホワイトニングの継続をお願いしました。
初診時の歯の色はA3でしたが、ホームホワイトニング終了後には「A1」にトーンアップしたため、治療を終了しています。
この治療のリスクについて
・治療中、歯にしみるような痛みが出る場合があります
・得られる効果は歯の質により様々です。予定通りの白さに達しない場合もあります
・自費診療(保険適用外治療)です

